診療内容

診療内容
内科、消化器内科、内視鏡内科、糖尿病内科
胃カメラ・大腸カメラ
当院では予約制で胃カメラ・大腸カメラを行っています。胃カメラは鼻から挿入できる細径内視鏡を使用しています。患者さんと相談して、口から挿入するか、鼻から挿入するか決定しますが、抗凝固薬/抗血小板薬を内服している方は、基本的に口からの挿入をお願いしています。
また、大腸カメラでは基準を満たせば、その場でポリープ切除も行っております。
当院では内視鏡ビデオスコープシステムとして、オリンパス社の「EVIS EXERA III」を導入しております。EVIS EXERA IIIは高画質化により、病変の観察能が向上されており、患者様に対するスコープ挿入時の負担軽減を追求しています。過去に施行したカメラ検査数は10000件を超え、内視鏡学会専門医・指導医の資格を持っております。苦痛が少なく、質の高い内視鏡検査を心掛けております。尚、当院では眠る注射を使用する内視鏡検査は行っておりません。
胃カメラを施行して、ピロリ菌感染が疑わしいと判断した際には、ピロリ菌の検査(尿素呼気試験など)を施行させて頂きます。ピロリ菌感染は胃炎、胃潰瘍、胃がん等の主なリスクファクターです。最近はピロリ除菌が積極的に行われ、胃癌の罹患率が減少してきています。
胃カメラ(上部消化管内視鏡検査)で
確認できる病名
咽頭腫瘍、食道炎・逆流性食道炎、Mallory-Weiss症候群、食道ポリープ、食道癌、食道憩室、食道静脈瘤、胃炎、急性胃粘膜病変、胃潰瘍、胃ポリープ、胃癌、胃憩室、胃毛細血管拡張症、アニサキス症、消化管内異物、胃静脈瘤、十二指腸炎、十二指腸ポリープ、十二指腸癌、乳頭部腫瘍・癌、十二指腸憩室
大腸カメラ(下部消化管内視鏡検査)で
確認できる病名
大腸ポリープ、大腸癌、虚血性腸炎、潰瘍性大腸炎、憩室炎、直腸潰瘍、内痔核、直腸粘膜脱症候群(MPS)、感染性腸炎、膠原線維性大腸炎(Collagenous colitis)、大腸メラノーシス
肝胆膵検査
肝胆膵検査とは、肝臓、胆のう・胆管、膵臓の検査のことです。当院では血液検査・超音波検査(エコー)にて検査を行います。勿論問診も重要です。今まで勤務してきた病院で脂肪肝、肝炎、肝硬変、肝臓癌、胆石、胆嚢炎、胆管炎、膵癌、膵炎、自己免疫性膵炎、膵石等の肝胆膵疾患を数多く経験してきました。
膵臓学会指導医、肝臓学会専門医の資格を持っております。血液検査・超音波検査で肝胆膵疾患の早期発見を行っていきます。しかし、超音波検査では描出が困難な部位もあり、CT・MRI等が必要と判断すれば、総合病院に紹介を致します。
膵臓疾患については学会発表、論文発表が幾らかございます。
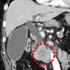
膵がんは全国統計ではがんの中で、肺がん、大腸がん、胃がんについで死因の第4位となっています。わが国の膵癌は近年増加傾向にあり、膵がんの死亡数はこの30年で8倍以上に増加しました。他のがんと比べて、予後は極めて悪く5年生存率は10%以下と言われています。少しでも生存率を良くするためには早期発見・早期治療が必要です。当院では、家族歴、嗜好歴(飲酒・喫煙)、糖尿病・肥満・慢性膵炎・膵嚢胞などのリスクファクターが多い患者様には積極的に血液検査、超音波検査などをお勧めしております。
超音波検査機器
超音波画像
CT画像(他院にて施行)
生活習慣病、その他の
疾患
生活習慣病の検査・治療
高血圧、脂質異常症、糖尿病、高尿酸血症などの生活習慣病は動脈硬化を引き起こし、脳心疾患発症のリスクファクターです。また、認知症発症の関連も指摘されています。
まずは、食事療法・運動療法などの生活習慣の改善が必要ですが、必要に応じて、内服薬による治療を行っていきます。
高血圧については、2019年ガイドラインにより高血圧患者の降圧目標が140/90mmHg未満から130/80mmHg未満に引き下げられました。
最近では、各種降圧剤が合わさった配合剤の使用が増えています。配合剤の方が薬価も安いこともあり、経済的なことがあります。
糖尿病については、以前と比べると内服薬が進歩しており、高血圧治療と同様に配合錠の使用が増えております。また、慢性心不全・慢性腎臓病にも効果がある糖尿病薬の登場もあり、患者さんそれぞれに一番適した治療薬を相談していきます。
動脈硬化の評価として、当院では頸動脈エコーや脈波伝播速度検査を行なっております。
甲状腺機能亢進症・低下症
甲状腺の病気は甲状腺ホルモンの乱れによって引き起こされます。疲れやすい、集中力低下、眠気、暑がり・寒がり、ふるえ、筋力低下、体重減少、むくみ等多彩な症状を起こします。30歳代〜50歳代の女性に多いです。まずは血液検査と甲状腺エコーで検査を行っていきます。
骨粗鬆症
60歳代女性の約5人に1人が骨粗鬆症と言われています。また、50歳を迎えると、女性は急激に骨折しやすい状態へと変わっていきます。
骨を丈夫にする食事や運動に気をつけるとともに、定期的に骨密度検査を受けて自分の骨チェックをしましょう。
気管支喘息
気管支喘息は増加傾向であり、人口100人に3〜5人の頻度と言われています。喘息の方の気道は常に炎症を起こしていて、気道が狭くなって空気が通りにくくなっています。気管支喘息には「ヒューヒュー」「ゼーゼー」という喘鳴(ぜんめい)が混じりますが、咳喘息は咳のみというのが特徴です。症状を治療せずに放置してしまうと、気道の炎症が悪化してより重い症状に繋がります。早めの受診をお勧めします。
予防接種
予防接種は、主に以下のワクチンを受け付けています。注:()内は当院での対象年齢
インフルエンザワクチン(13歳以上)
肺炎球菌ワクチン(65歳以上)
2種混合ワクチン(ジフテリア・破傷風)(11歳以上13歳未満)
水痘ワクチン(13歳以上)
麻疹風疹混合ワクチン(学童以降)
日本脳炎ワクチン(学童以降)
B型肝炎ワクチン(学童以降)
おたふくかぜワクチン(学童以降)
※日本脳炎ワクチン、B型肝炎ワクチン、おたふくかぜワクチンは在庫が不足している状態です。適宜変更になることもあり、詳細についてはクリニックにご連絡をお願い致します。
各種検査
レントゲン検査(胸部・腹部)
心電図検査
血液・尿検査
胃カメラ(予約制)、ピロリ検査
大腸カメラ(予約制)
超音波検査(エコー検査)
脈波伝播速度(血管機能検査)
骨密度検査
その他、健康診断・特定健診(眼底検査・視力検査・聴力検査含)
睡眠時無呼吸症候群の検査(予約制)、ホルター心電図(予約制)
眼底検査機器
レントゲン
心電図・脈波伝播速度
漢方診療
西洋医学では疾患を診断する際に、一つ一つの臓器に異常がないかを重視しますが、漢方医学では自覚症状・身体所見を総合的に評価して診断・治療を行います。
当院では西洋医学と漢方医学を組み合わせることで、より満足のいく治療を提供していきます。
例えば、便秘、冷え性、更年期症状、自律神経失調、夏バテ、認知症、肩こり、脱毛、腰痛、しびれ、排尿障害、不安・不眠に適した漢方薬があります。
症状に一番適した漢方薬を処方致します。
新型コロナ検査
当院では、「コロナ抗原定性検査」、「コロナPCR検査(院内)」を行っています。
抗原定性検査は鼻腔拭い、PCR検査は唾液か鼻腔拭いで検査をします。
抗原定性検査は約10分で結果が出ますが、PCRと比べると正確性が劣ります。
PCR検査は正確性が高いですが、結果が出るまでに90分〜150分を必要とします。
PCRの場合、結果は夕方に電話で連絡しております。
また、唾液を出す際は、車で来られた方は車内で唾液を出して頂き、徒歩で来られた方は院内の陰圧室で唾液を出して頂きます。
左:全自動コロナPCR検査装置(外観)
右:全自動コロナPCR検査装置(内部)
コロナ抗原定性検査
(写真はSARS-CoV-2抗原陽性例です)
胸部レントゲンAI NEW
当院では、AI技術によるレントゲン補助診断(胸部X線画像病変検出ソフトウェア:CXR-AID)を導入致しました。
胸部レントゲン撮影は健康診断や日常診療(風邪、心疾患、高血圧など)において頻繁に行なっております。
しかし、胸部レントゲンでは骨や血管などが重なって写るため、病変を確認しにくいケースがあります。
医師の視認+AIを行うことで、病変の見落とし防止や早期発見を可能にすることができます。現在この新しい診療には特別な保険点数は設定されていませんので、通常のレントゲンと同じ費用で精度の高い検査を受けることができます。
レントゲン画像
〒071-1521
上川郡東神楽町ひじり野北1条3丁目1番1号
TEL:0166-83-5580
診療時間
08:30〜12:00
14:00〜18:00
●午後の受付は17:45までにお願いします。
●午後休診:木曜日・土曜日
●休診日:日曜日・祝日